Skip To Main Content

See the Texas A&M University College of Engineering's stories from October 2022.

In Memoriam of Dr. Ignacio Rodriguez-Iturbe, 1942 to 2022

Dr. Ignacio Rodriguez-Iturbe, who became a globally recognized leader in ecohydrology, passed away Wednesday, Sept. 28, in his home country of Venezuela. He was 80 years old.

Elizabeth Weichel

Elizabeth Weichel shares her experiences and academic endeavors as an undergraduate student in the College of Engineering. So far, she has enjoyed leadership positions, a study abroad, internships and more.

Gloved hand holding a shallow circular glass dish containing small round clusters of cultured bacteria cells

Researchers at Texas A&M University and the University of São Paulo are using photodynamic therapy to break the dangerous cycle of fighting increasingly resistant bacteria with increasingly stronger antibiotics.

Photo of power lines at sunset.

Researchers are using biological ecosystems as inspiration for new models of improved power systems that display greater survivability when faced with cyber or physical attack scenarios compared to traditional security-oriented designs.

Michelle Nguyen and Andrew Lin are sitting at a booth prior to presenting their work at an event.

Pranav Ambadasugari, Andrew Lin, Michelle Nguyen and Theo Nyan received awards for their contributions toward making a positive impact in service-learning projects for small communities.

Hypersonic airplane flying above Earth’s atmosphere

Dr. Dorrin Jarrahbashi is leading a research team to improve next-generation hypersonic technologies by better understanding how liquid and solid particles in the atmosphere affect the structure of hypersonic vessels — particularly during takeoff and landing.

Cut lumber stacked in a pile.

A research team led by Drs. Zheng O'Neill and Bryan Rasmussen is seeking to help reduce the wood product manufacturing industry’s carbon emissions by developing and implementing an intelligent heat pump system using desiccant and Internet of Things technology.

David G. Barker headshot.

Two new scholarships, established by former student David G. Barker ‘66, will open doors for mechanical and nuclear engineering students who graduated from Texas high schools.

A person wearing a black and blue cloth headpiece with small, clear circular sensors.

Humans and robots are working closer than ever before, and researchers at Texas A&M University are using brain imaging to investigate how these interactions can impact human trust in robots during manufacturing tasks.

Texas A&M University Engineering logo

Three former ocean engineering students, Vincent Yu ‘11, Ning Xu ’06 and Liqing Huang ’10, have established the Professor Jun Zhang Endowed Scholarship to honor his dedication to students and the ocean engineering field.

Five members of first-place team Jacket holding a large sign representing a check awarded to them for $1,000

Texas A&M University College of Engineering students developed innovative solutions to explore aspects of national security at the Aggies Invent competition. Team Jacket won first place for designing a monitoring system to keep data safe.

Dr. Arum Han

Dr. Arum Han received the Regional Solid Waste Management Award for Environmental Education and Outreach from the Brazos Valley Council of Governments.

Wooden house damaged by earthquake

A new National Science Foundation Faculty Early Career Development Award will help Dr. Maria Koliou study the impact of earthquakes on aging wooden housing and business infrastructure and offer strategies for post-disaster rehabilitation or pre-disaster preparedness.

Texas A&M University Engineering logo

Heico Construction Group’s donation will support students pursuing civil engineering and the construction engineering and management program in honor of their former president and CEO, Jody Brusenhan ’83.

Closeup of a computer programmer’s hand working on a laptop.

A team of Texas A&M University researchers has been awarded a grant from the National Security Agency to support their work on automating risk detection and mitigation in cybersecurity systems.

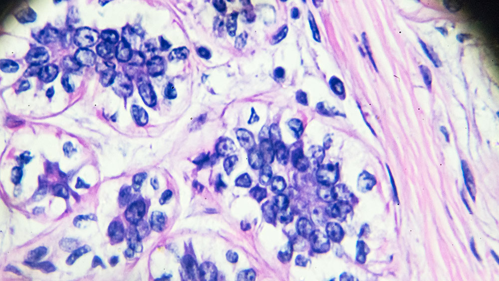
Breast cancer under light microscopy

沈博士杨是一个随着文章的第二作者ch study that has identified a protein that drives breast cancer stemness and metastasis. This research is led by Dr. Huiping Liu with the Northwestern University Feinberg School of Medicine.

Dr. Dimitar Filev

Dr. Dimitar Filev will share his expertise in autonomous vehicle systems with researchers from the mechanical engineering and engineering technology and industrial distribution departments as a visiting member of the 2022-23 Hagler Institute for Advanced Study.

Two hands wearing gloves holding three chip components

Dr. Arum Han and his team have developed a new technology that can analyze cell properties through the use of single-cell electrorotation, which can aid in many life science applications such as disease diagnosis.

Dr. Ranjana Mehta and Oshin Tyagi hold plaques and stand between two men in front of a colorful balloon arch and a Human Factors and Ergonomics Society banner.

Research by Dr. Ranjana Mehta and doctoral student Oshin Tyagi sought to understand how older men and women adapt to fatiguing tasks. The Human Factors and Ergonomics Society recently recognized them for their work toward elevating equity and inclusivity in research.

The J. Mike Walker '66 Department of Mechanical Engineering at Texas A&M University

The J. Mike Walker '66 Department of Mechanical Engineering is joined by 10 new faculty members. Six of the new faculty join the tenured and tenure track and four join the academic professional track.

Texas A&M engineering student holding a piece of polymer

Most polymers are not easily degradable, meaning they do not break down at the molecular level and they stay in the environment forever. Using 3D printing, carbon dioxide and salt, researchers at Texas A&M University are creating safe, degradable polymers.

A student working with an electric circuit.

Sponsored by the Los Alamos National Laboratory, Texas A&M University’s College of Engineering hosted Aggies Invent, where students answered the challenges facing nuclear security. First-place was awarded to team DeGenerators.

罗宾·墨菲博士的头像旁边的文本that says, “Robin Murphy receives 2022 Women in Robotics Engineering and Science Award.” Her name is beneath her headshot.

Dr. Robin Murphy received a Women in Robotics Engineering and Science Award at a prestigious robotics research conference in Japan for her contributions to disaster robotics and human-robot interaction research.

Baidu
map